Caso clínico #7
Cambio de coronas metal cerámicas por restauraciones cerámicas adhesivas.
Paciente con restauraciones metal cerámica que no poseen la forma y tamaño correspondientes y falta de armonía entre restauraciones labios y rostro del paciente, se decide cambiarlas por restauraciones cerámicas adhesivas de disilicato de litio de acuerdo a nuestro protocolo de trabajo, comenzando con el análisis facial, labial e intraoral para una correcta planificación.
Caso clínico #7
Cambio de coronas metal cerámicas por restauraciones cerámicas adhesivas.
Paciente con restauraciones metal cerámica que no poseen la forma y tamaño correspondientes y falta de armonía entre restauraciones labios y rostro del paciente.
Se decide cambiarlas por restauraciones cerámicas adhesivas de disilicato de litio de acuerdo a nuestro protocolo de trabajo, comenzando con el análisis facial, labial e intraoral para una correcta planificación.
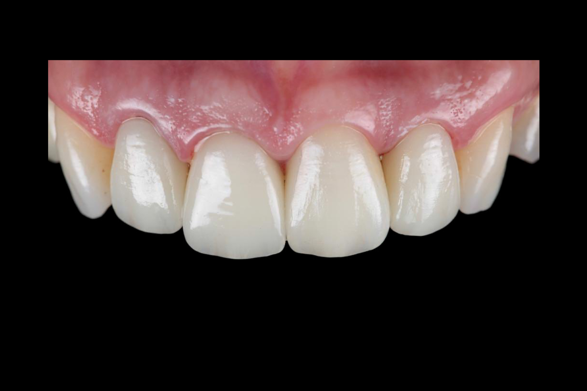
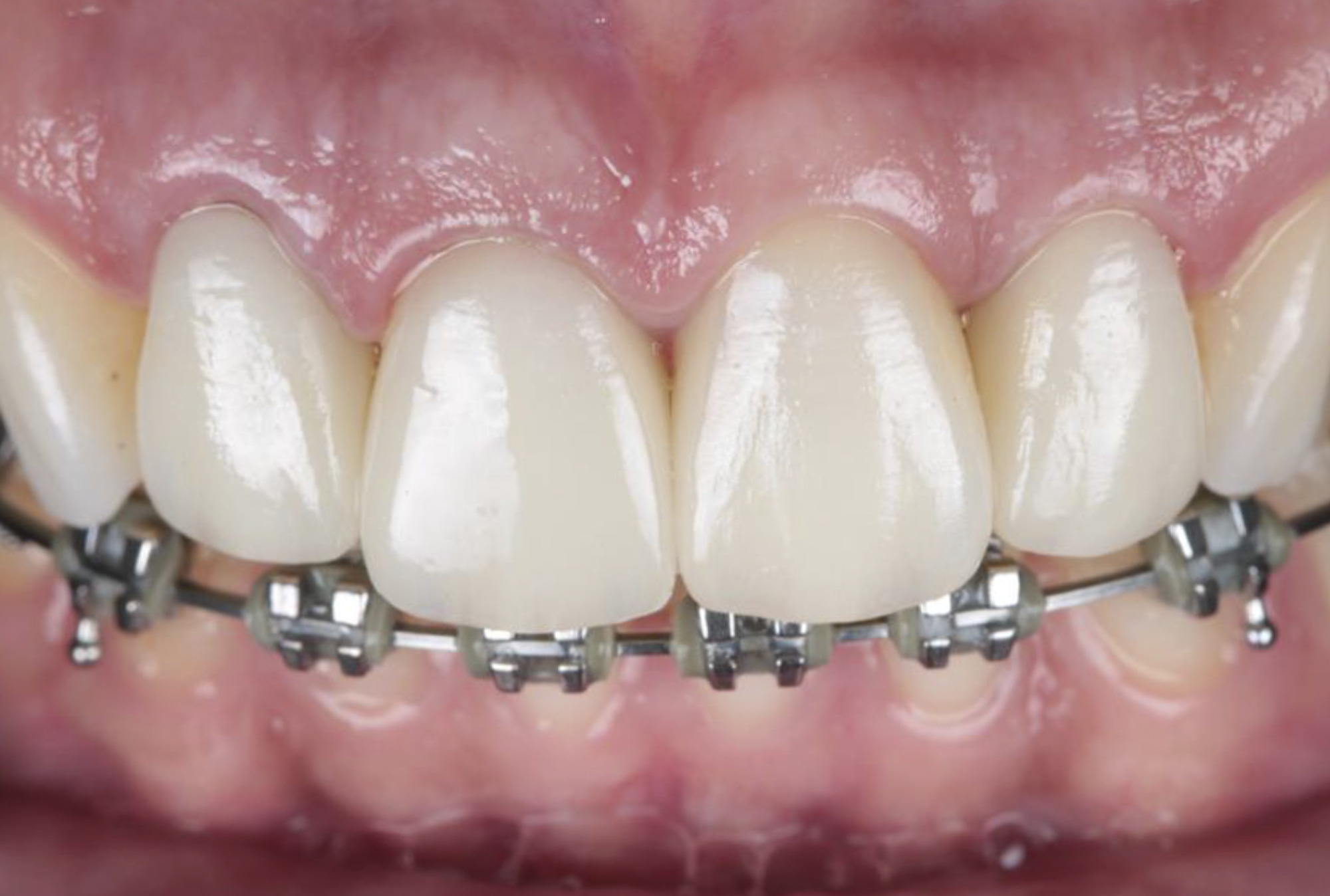
Situación inicial.
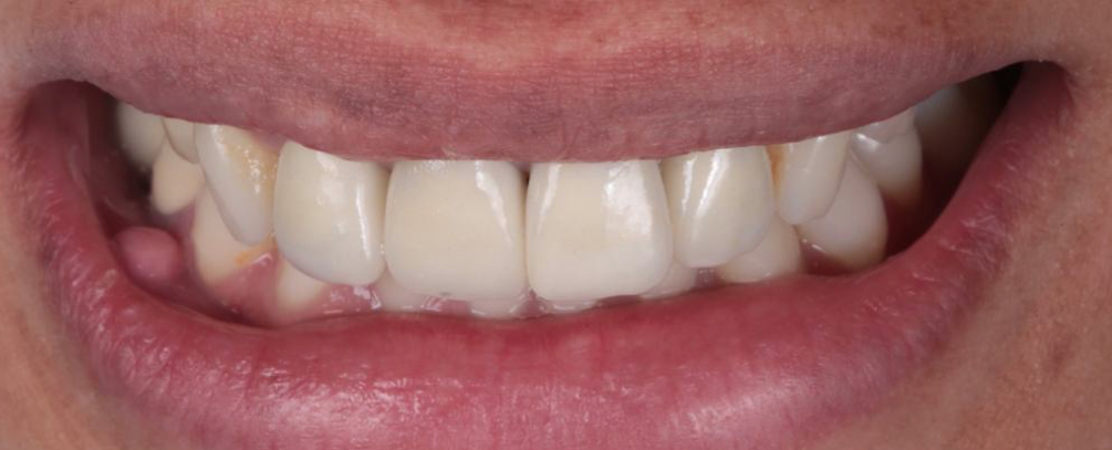
Situación final.
Situación final donde observamos como se devolvió una forma y tamaño correcta de restauraciones cerámicas adhesivas. Caso realizado por el Dr. Cofré + equipo junto al Td: Javier Casas
Ver más casos clínicos
Videos de los cursos
Curso de 6 módulos de restauraciones cerámicas adhesivas
Curso intensivo de restauraciones cerámicas adhesivas, en la era digital
Curso intensivo de restauraciones cerámicas adhesivas
Contactate hoy con nuestro equipo.
Para mayor información sobre cualquiera de nuestros cursos envianos tu mensaje y a la brevedad te estaremos respondiendo. No te los podes perder!








