Caso clínico #4
Carillas feldespáticas sobre folio de platino de de 15 a 24.
Paciente con desarmonía entre sus piezas dentarias y cambio de coloración en el diente 11, fue tratada con nuestro protocolo de trabajo, comenzando con el análisis facial, labial e intraoral.
Caso clínico #4
Carillas feldespáticas sobre folio de platino de de 15 a 24.
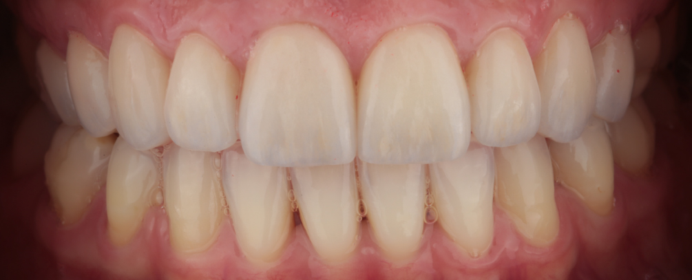
Paciente con desarmonía entre sus piezas dentarias y cambio de coloración en el diente 11,
Se decide cambiarlas por restauraciones cerámicas adhesivas de disilicato de litio de acuerdo a nuestro protocolo de trabajo, comenzando con el análisis facial, labial e intraoral para una correcta planificación.
Situación inicial
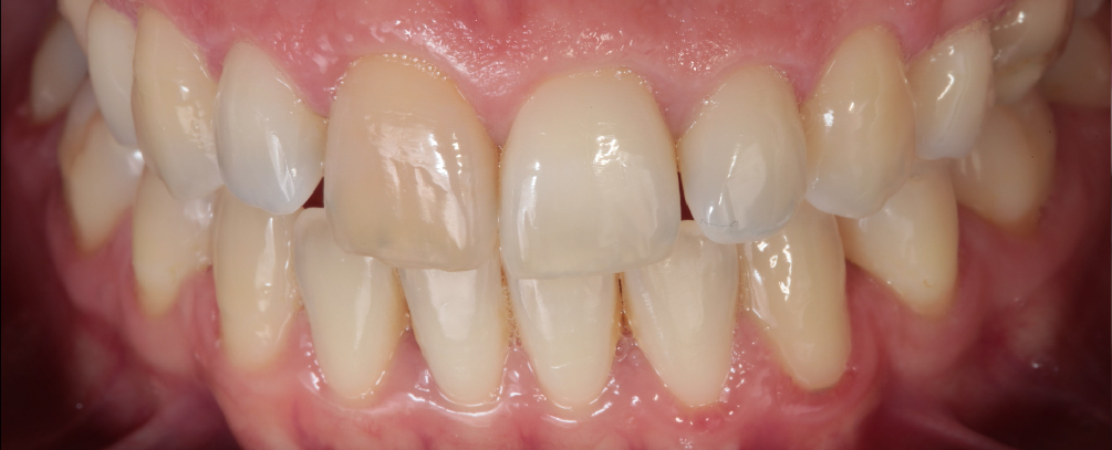
Situación final
Paciente en máxima intercuspidación después de la fijación adhesiva de las nueve restauraciones cerámicas superiores donde se observa como el técnico pudo emular las características ópticas de los dientes antagonistas para lograr mimetizarse con las restauraciones.
Las carillas una vez acondicionadas se colocaron en el Venner Me, de Smile Line (5), un dispositivo que también sirve para hacer todo el proceso de acondicionamiento de la carilla.
Resultado final de la imagen de rostro donde observamos cómo se devolvió armonía y equilibrio entre la sonrisa de la paciente con nueve restauraciones cerámicas adhesivas. Caso realizado junto a la alumna Roxana Salzano y el TD:Ricardo Schäfer en el curso de restauraciones cerámicas adhesivas, Clinica CIO, Buenos Aires, Argentina, en el año 2019.
Ver más casos clínicos
Videos de los cursos
Curso de 6 módulos de restauraciones cerámicas adhesivas
Curso intensivo de restauraciones cerámicas adhesivas, en la era digital
Curso intensivo de restauraciones cerámicas adhesivas
Contactate hoy con nuestro equipo.
Para mayor información sobre cualquiera de nuestros cursos envianos tu mensaje y a la brevedad te estaremos respondiendo. No te los podes perder!







